Skip Menu
Continue
  • 3575 Lake Eastbrook Blvd SE,
  • Grand Rapids, MI 49546
  • Home
  • About Us
    • Meet the Team
    • Our Office
    • New Patients
    • Smile Gallery
    • Dental Videos
    • Testimonials
  • Our Doctor
    • Timothy B. Harmon, DDS
  • Services
      • Crowns & Caps
      • Dental Bridges
      • Emergency Treatment
      • Implant Dentistry
      • Root Canals
      • Teeth Whitening
      • Toothaches
      • Veneers
    • View All
  • Dental Health
  • Contact
    • Contact Us
    • Request Appointment

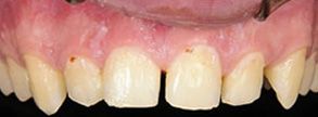
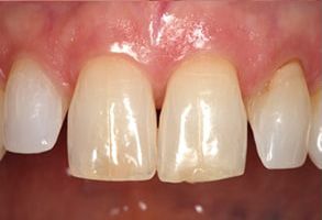
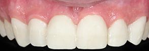
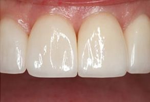
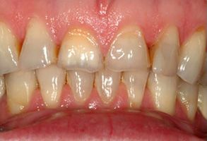
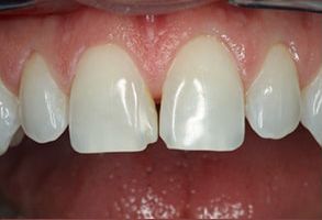
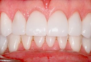
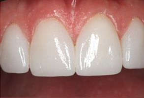
Smile Gallery

Our Location

3575 Lake Eastbrook Blvd SE
Grand Rapids, MI 49546
(616) 949-2650

Follow Us